Facebook
Linkedin
Twitter
Sign in
Magazine
Issues
Media Pack
Audience & Readership
Partnership Package
About us
Features
Biomedical
Cardiovascular Disease
Combat and Control of Diseases
Respiratory Disease
Biotechnology
Bioresearch
Finance and Funding
Pharmacology
Clinical Trials
Drug Discovery
Training and Education
News
Big Interview
Industry Database
Subscribe
Contact us
Sign in
Welcome!
Log into your account
your username
your password
Forgot your password?
Privacy Policy
Password recovery
Recover your password
your email
Search
Magazine
Issues
Media Pack
Audience & Readership
Partnership Package
About us
Features
Biomedical
Cardiovascular Disease
Combat and Control of Diseases
Respiratory Disease
Biotechnology
Bioresearch
Finance and Funding
Pharmacology
Clinical Trials
Drug Discovery
Training and Education
News
Big Interview
Industry Database
Subscribe
Contact us
Search
Home
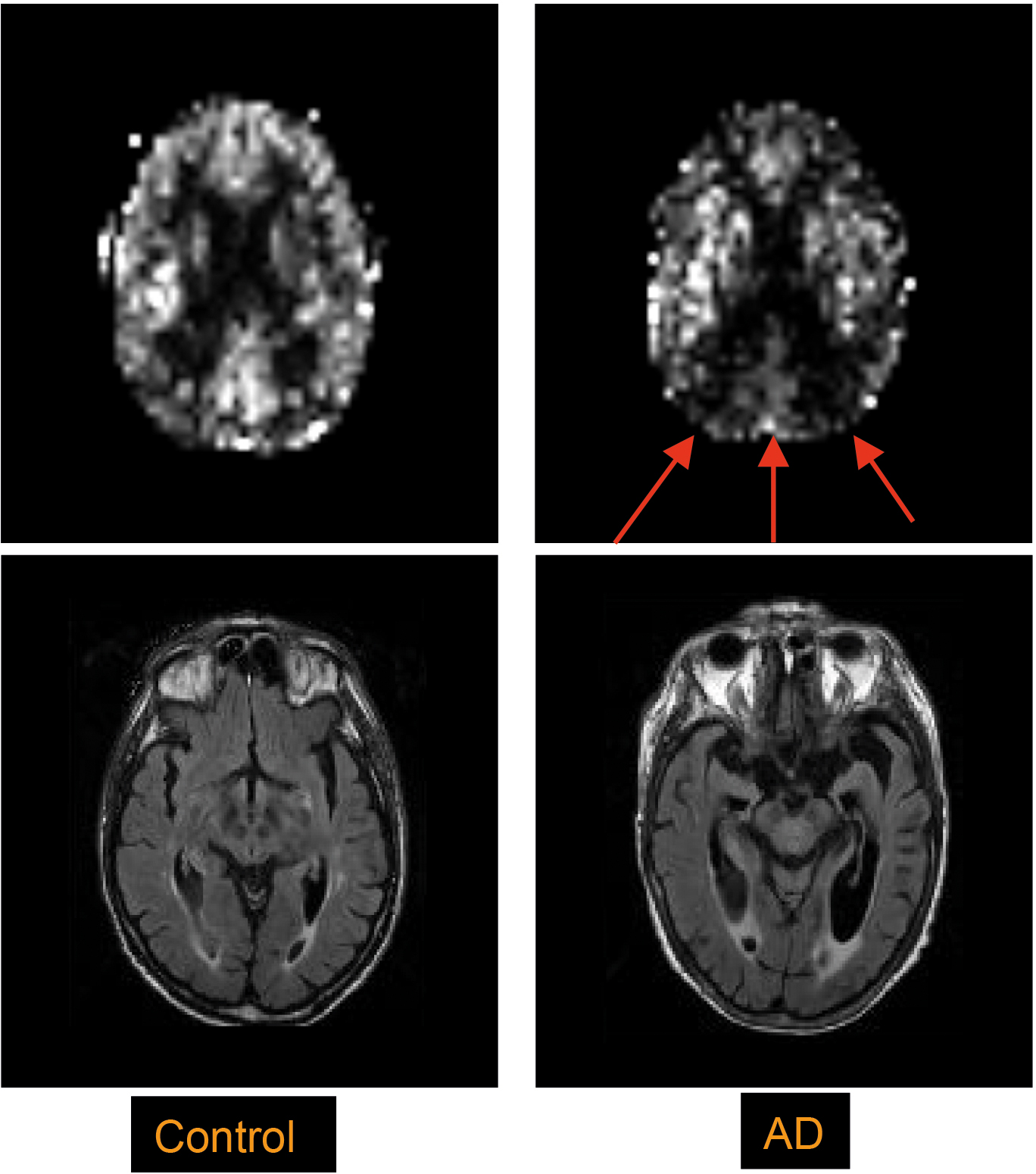
MRI 02
MRI 02
MRI 02